Experience comprehensive dental care with Dr. Sushma Chandak Gilada at House of Smiles Dental Care. We provide painless, professional treatments in a comfortable environment.
Comprehensive dental care services to keep your smile healthy and beautiful

Restore missing teeth with durable, natural-looking dental implants for a complete smile.

(Braces and Aligners)
Straighten your teeth and improve your bite with modern braces or discreet clear aligners.

Transform your smile with a combination of cosmetic procedures tailored to your aesthetic goals.

(RCT)
Save infected teeth with advanced, comfortable root canal procedures to relieve pain and preserve your natural tooth.

Protect and restore damaged teeth with custom-made crowns that blend seamlessly with your natural smile.

Replace one or more missing teeth with fixed dental bridges, restoring function and aesthetics.

Maintain optimal oral health with regular check-ups, cleanings, and personalized preventive care plans.

Gentle and comprehensive dental services for children, focusing on early prevention and positive experiences.

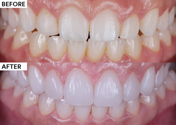
Brighten your smile with professional teeth whitening treatments for a noticeably whiter appearance.

Address gum disease and maintain gum health with effective treatments for gingivitis and periodontitis.

Repair cavities and restore tooth structure with durable, tooth-colored fillings.

(Tooth Removal)
Safe and comfortable tooth removal when a tooth cannot be saved, followed by options for replacement.

Replace multiple missing teeth with custom-fitted partial or complete dentures for improved chewing and aesthetics.
Hear from those who experienced the House of Smiles difference
"Highly recommended ✅ Dr. sushma is knowledgeable and gentle in approach. She will listen to you, understand the problem and carefully do the treatment. The clinic is spotless and equipped with all the modern dental tools and technology, which really adds the confidence and comfort during the treatment. Highly recommended who is looking for professional dental service."
- Gajanan Kumbhar
"Best dental clinic in Pune! Visited for Smile design consultation and also undergone scaling procedure (and it was beyond my satisfaction). Dr Sushma knows her stuff well and she guides us for efficient course of treatment to avoid any costly procedures in the future. The clinic is well managed with supportive staff and modern equipments and it's easy to reach there without having any parking concern! (yes, the building has ample parking space). The House of Smiles has become my go to place in Pune for my dental care."
- Akshay Mali
"I recently visited @house of smiles for a routine check-up and cleaning, and I couldn't be more impressed! The clinic is spotless, modern, and well-equipped with the latest technology. Dr. Sushma was incredibly professional, thorough, and took the time to explain every step of the process. I highly recommend it to anyone looking for high-quality dental care in a comfortable and friendly environment..."
- Sapana Tapadiya
Stay informed about dental health with our expert tips and insights
Learn simple daily habits that can keep your teeth and gums healthy between dental visits.
Demystifying root canal procedures and explaining why they're often the best solution for damaged teeth.
Why professional cleanings are essential for preventing cavities and gum disease.
Experienced dental care with a personal touch
BDS (Dental Surgeon)
With years of experience in comprehensive dental care, Dr. Sushma specializes in painless treatments and patient comfort. She is committed to providing the highest quality dental care using the latest techniques and technology.
Dr. Sushma believes in creating a comfortable, stress-free environment for all her patients. Her gentle approach and expertise in modern dental procedures have helped thousands of patients achieve healthy, beautiful smiles.

Licensed Dental Surgeon
Ready to transform your smile? Contact us today!
(+91) 7249463497
(+91) 9766978278
houseofsmiles24@gmail.com
101 F, First Floor, Monte Rosa, Sinhgad Rd, Hingne Chowk, Pune, Maharashtra 411051
Visit us at our convenient location in Pune.
101 F, First Floor, Monte Rosa, Sinhgad Rd, Hingne Chowk, Pune, Maharashtra 411051